PRV virus har trolig en rolle i utvikling av de mest alvorlige melaninflekkene i laksefilét, men er ikke primærårsak
I en ny studie er det vist at PRV-infeksjon alene ikke er nok til å initiere dannelsen av svarte flekker i filét, men synes å forklare en større andel av de mer uttalte former av svarte flekker. Røde flekker synes i stor grad å gi opphav til svarte flekker, og årsaken til dannelsen av røde flekker er fremdeles ikke avklart.

Mørke flekker i laksefilét medfører store tap for industrien. I en artikkel publisert i 2015 ble det dokumentert sammenheng mellom forekomst av piscine orthoreovirus (PRV) og melanin- og blodflekker i laksefilét. I studien fra 2015 ble det ikke konkludert med om det er PRV-viruset som er primærårsaken til melanin og blodflekker, og om PRV også er involvert i tidligere stadier av røde flekker som så går over til mørke flekker. Dette prosjektet hadde som mål å kartlegge denne sammenhengen ytterligere. Hvis det kan dokumenteres en sammenheng mellom forekomst av PRV-virus og utvikling av muskelskader som så går over til melaninflekker, og at PRV-viruset viser seg å være primærårsak til forandringene, vil dette gi et ytterligere viktig incitament for å rette tiltak mot å begrense / redusere forekomst av PRV-viruset. Dersom PRV-viruset viser seg å ikke være primærårsak, men forsterker utviklingen vil også en bekjempelse av PRV-viruset ha positiv effekt. Melaninflekker i filét er i dag en av de viktigste årsakene til nedklassing og næringen anslår at tapene ligger på rundt 500 millioner kr per år.
Prosjektet er en oppfølging både av FHFs satsing på årsaksforholdene rundt mørke flekker samt betydningen av PRV for havbruksnæringen. Prosjektet er videre forankret i NMBU Veterinærhøgskolen sin satsing på forskning rundt fiskesykdommer og betydningen av virus i akvakulturnæringen samt Marine Harvests forskningssatsing på å løse problemet. Prosjektet har vært ledet av Erling Olaf Koppang, NMBU.
Finner ikke alltid PRV i røde og sorte flekker
I dette prosjektet ble en populasjon produksjonsfisk fulgt fra utsett i sjø til slakt med en rekke uttak og registreringer gjennom produksjonsfasen. Fisken var PRV-negativ ved utsett. I begynnelsen av sjøfaseperioden var forandringene i muskelen til fisken beskjedne og uten betennelse, og det ble funnet mest røde flekker. Andelen fisk med røde flekker var relativt stabil gjennom hele forsøksperioden med et gjennomsnitt på 3,7 %. Alle grader røde flekker var tilstede fra første uttak, og det ble ikke registrert noe mønster mellom ulike grader av disse flekkene i forhold til PRV-status eller makroskopisk utseende. Vi kan dermed konkludere med at fiskens PRV-status ikke har innflytelse på forekomst og manifestasjon av røde flekker.
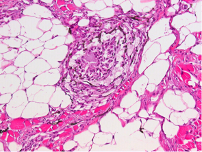
Prevalensen av svarte flekker hadde en økende trend gjennom forsøket. Siste uttak var 14 måneder etter sjøutsett. Ved mikroskopi ble det klart at det er en stor variasjon av vevsforandringer innen kategorien «svarte flekker», alt fra upåviselige forandringer til kraftige betennelsesforandringer som vi har beskrevet før. Forandringene kunne finnes med og uten pigmenterte celler. Dette viser at noe som man tror er en melaninflekk ikke nødvendigvis er det. Tvert imot kunne slike flekker bare inneholde gammelt bindevev og ikke være gjenstand for noen betennelse. Da er det trolig at lysbrytninger i bindevevet kan medføre at man oppfatter det som en melaninflekk mens det i virkeligheten er gammelt arrvev. Disse funnene viser at beskrivelser og registreringer av svarte flekker alltid må følges av en histologisk karakterisering. Utover i forsøksperioden endret de svarte flekkene både karakter og ble mer uttalte og alvorlige observert ved obduksjon av fisken og i mikroskop. I disse mest uttalte og alvorlige svarte flekkene med betennelse ble det alltid funnet PRV, og det var det eneste infeksiøse agens som ble funnet i denne studien.
PRV-infeksjon er alene ikke nok til å initiere dannelsen av svarte flekker
I et forsøk ble fisk infisert med PRV og andre antigen, men det ble ikke registrert noen flekker i denne fisken. Prosjektet har vist at røde og svarte flekker kan utvikles uten påvisbar PRV infeksjon, men at svarte flekker har høyst ulik karakter, og i de alvorligste formene fant vi alltid PRV. PRV-infeksjon er alene ikke nok til å initiere dannelsen av svarte flekker, men synes å forklare en større andel av de mer uttalte former av svarte flekker. Røde flekker synes i overveiende grad å gi opphav til svarte flekker, og årsaken til dannelsen av røde flekker er fremdeles ikke avklart.
Må lete videre etter primærårsak
Resultatene indikerer at de mest alvorlige flekkene utvikles kun med virus til stede, men årsaken til røde flekker ser tilsynelatende ikke ut til å ha direkte sammenheng med PRV infeksjon. Men ikke all fisk har melaninflekker ved slakt selv om de er PRV infisert. Altså er ikke PRV infeksjon i seg selv tilstrekkelig til å gi melaninflekker.
Årsakene til at noen utvikler de granulomatøse flekkene kan skyldes egenskaper ved virus, fisken eller miljøet, eller da helst kombinasjoner av disse. Det ble ikke funnet de initielle årsaksfaktorene til melaninflekker. Det kan være flere, det kan være kombinasjoner og videre studier er nødvendige for å lete etter primærårsak.
Les mer om dette prosjektet her (FHF-901221)
FHF lyste tidligere i år ut 25,5 millioner kroner til videre forsøk på melanin med fokus på å prøve å finne primærårsak. Forsøkene er nå akkurat satt i gang av henholdsvis Nofima og NMBU:
Mørke flekker i laksefilet: Årsak til dannelse og tiltak som hemmer utvikling
I dette prosjektet søker vi å fremskaffe grunnleggende kunnskap om hvorfor nettopp bukområdet av laksefilet er så utsatt for å utvikle mørke flekker (901487).
Prosjektleder ved Nofima er Turid Mørkøre.
Røde flekker og overgang til svarte flekker i laksefilet
Melaninflekker er en produksjonssykdom og har kombinerte årsaksfaktorer. Prosjektets arbeidshypotese for etablering av flekker er at muskelskader rekrutterer makrofager til det skadede område. Dersom makrofagene er PRV infisert vil deres effektivitet reduseres, betennelsesfasen forlenges og melanin dannes. I dette prosjektet ønsker vi også å finne ut om ribbeinsbrudd kan være involvert som årsaksfaktor. Det søkes også å forstå hva som skjer og årsaker til overgangen fra røde til sorte flekker. Fokus er å avdekke dypereliggende mekanismer i dannelsen av røde og svarte flekker, og tiltak for å redusere PRV infeksjon (901501).
Prosjektleder er professor,dr.med.vet. Erling Olaf Koppang og prof. Espen Rimstad, Veterinærhøgskolen NMBU.