Til innholdet

Nefrokalsinose er svært utbredt

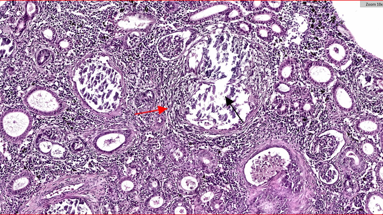
En delrapport i prosjektet NEFROSMOLT viser at nefrokalsinose ble påvist i samtlige settefiskanlegg som ble undersøkt i Midt Norge, selv om omfanget varierer. Årsakssammenhenger er også kartlagt.

Foto: Anne Katrine Reed, PHARMAQ Analytiq
F1 Nærbilde

← Se flere resultater
Prosjekt:
901587

Nefrokalsinose kjennetegnes ved utfelling av kalkholdig materiale i fiskens nyre som kan føre til nyresvikt og nedsatt helse og velferd. Hva det er som gjør at laks får nedsatt nyrefunksjon og hva oppdrettsnæringen kan gjøre for å forhindre sykdommen er lite kjent. Med bakgrunn i det samt at sykdommen er så utbredt så initierte FHF gjennom utlysning i 2019 «Robust laksesmolt i norsk settefiskproduksjon» forskning på problemstillingen.

Prosjektet (NEFROSMOLT) er ledet av Aqua Kompetanse og som i samarbeid med NTNU nå har levert en delrapport i prosjektet som gir oss ny innsikt.

I tillegg til å vise seg å være svært utbredt i settefiskanleggene i Midt Norge så har prosjektet også studert årsakssammenhenger. Vannkvalitet viste seg å være den mest betydelige faktor for nefrokalsinose selv om fôrsammensetning muligens spilte en sekundær rolle. I anleggene som tilsatte sjøvann i løpet av produksjonen fikk en større andel fisk påvist alvorlige grader av nefrokalsinose. De har så langt ikke funnet noen sammenheng mellom nefrokalsinose og HSS (Hemoragisk smolt syndrom) som det har blitt spekulert i tidligere.

Les hele delrapporten her

-Det gjøres store investeringer i settefiskproduksjonen for tiden, og resultater som dette har stor betydning for å bidra til å bedre fiskens helse og velferd og styrke biosikkerheten i næringen, sier fagsjef fiskehelse i FHF, Sven Martin Jørgensen.

 

keyboard_arrow_up